Scoperto meccanismo che causa metastasi al cervello
Metastasi: sintomi e diagnosi. La diagnosi di metastasi può essere complicata, poiché i sintomi possono variare in base alla localizzazione e alle dimensioni delle metastasi.. quando il cancro si è diffuso al cervello; mancanza di respiro e tosse, quando il cancro si è diffuso ai polmoni; ittero (caratterizzato da colorito giallo della.. Le metastasi cerebrali si verificano quando le cellule provenienti da un tumore primario insorto in un’altra parte del corpo migrano , localizzandosi nel cervello. La metastasi può svilupparsi in una sola parte del cervello o interessare più parti contemporaneamente. I tumori che più frequentemente generano metastasi cerebrali sono il tumore del polmone, il tumore della mammella, il.
Cervello Di Ct Di Cancro Metastatico Fotografia Stock Immagine di metastasi, effetti 148118606
Sintomi dei tumori cerebrali. A quali altre patologie si associano?
Tumori e metastasi cerebrali cosa c’è da sapere?
¿Qué es la metástasis cerebral? Gamma Knife
Lo strano legame tra EBV e sclerosi multipla Microbiologia Italia
Scoperto meccanismo che causa metastasi al cervello
Come riconoscere un tumore al cervello Neurochirurgia24 Roma
Tumore al cervello sintomi, cure, cause, diagnosi e sopravvivenza
Tumore al cervello tipologie, sintomi, diagnosi e percorso di cure
sintomi tumore al cervello DrBeckmann
Sintomi tumore al cervello mal di testa 2021
Vertigini o giramenti di testa, sintomi, cause, diagnosi e terapia
Scoperto il meccanismo che causa la crescita di metastasi nel cervello
Tumore al cervello e sopravvivenza MedicinaLive
Tumore al cervello sintomi iniziali, cure, sopravvivenza e metastasi Gazzetta.it
risonanza cervello DrBeckmann
Tumore al cervello il sintomo più “strano” che quasi nessuno nota YouTube
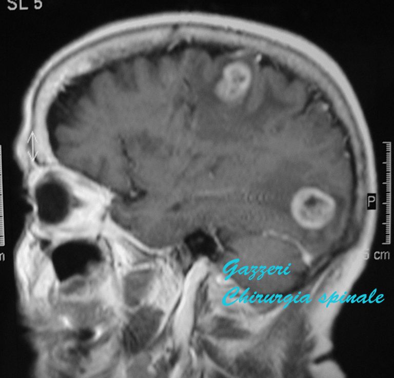
Metastasi cerebrali Chirurgia Spinale
I sintomi di un tumore al cervello
Tumore al cervello sintomi iniziali e cure Prof. Antonino Raco
Un tumore cerebrale consiste nella crescita anomale di cellule nei tessuti del cervello, che può essere benigna o maligna. Fa parte del cervello il sistema nervoso centrale, costituito da due parti: l’ encefalo e il midollo spinale. Insieme controllano sia le funzioni volontarie, per esempio camminare, parlare, eccetera, sia le funzioni.. Segni e sintomi dei tumori cerebrali. Un sintomo comune dei tumori cerebrali è il mal di testa che non si allevia con il normale trattamento. Bisogna ricordare, però, che il maggior numero dei mal di testa non è collegato ai tumori cerebrali. Altri segni e sintomi: mal di testa che diventano più dolorosi; nausea e vomito; cambiamenti nella.


